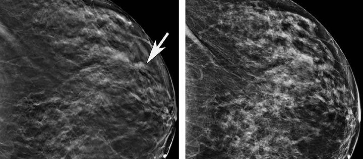
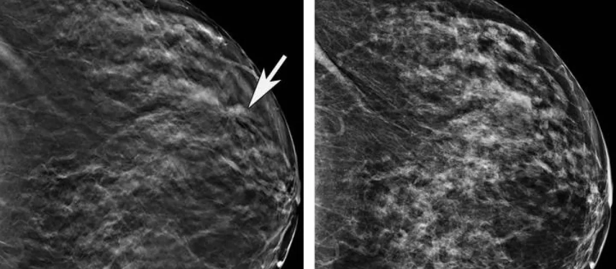
Mamografía

MamografíaRADIOLOGICAL SOCIETY OF NORTH AMERICA

Sanidad tranquiliza a mujeres de Talavera y asegura que la nueva empresa hará mamografías a principios de año

Todavía no se ha adjudicado el concurso, pero el consejero de sanidad, Jesús Fernández Sanz, explica que no habrá ningún problema

La Consejería de Sanidad prevé adjudicar el concurso para llevar a cabo el 'screening' de cáncer de mama en Talavera de la Reina con la intención de «empezar a primeros de año» con la nueva empresa que resulte adjudicataria del mismo.

Así lo ha indicado este jueves a preguntas de los medios en una rueda de prensa el consejero de Sanidad, Jesús Fernández Sanz, tras presentar los proyectos que se financiarán gracias a la donación de la Fundación Amancio Ortega en el Hospital Nacional de Parapléjicos.

«En este momento no está adjudicado todavía y nuestra idea es adjudicarlo para empezar a primeros de año», ha detallado el consejero, quien ha añadido que «no va a haber en ningún momento ningún problema con las mamografías del 'screening' en Talavera».

En este sentido, ha reiterado que de las mujeres pendientes de hacer una mamografía y con la velocidad de trabajo actual, «posiblemente a final de noviembre estén todas hechas». «Pensamos terminar a final de noviembre y primeros de diciembre», ha concretado.

Proceso lento

Abundando en la adjudicación del contrato, Fernández Sanz ha dicho sobre los plazos que los concursos «llevan su tiempo» y que si se retrasara la Consejería tiene previsto seguir con la empresa que en este momento lo está haciendo junto con el hospital, hasta que se adjudique.

Así, ha querido transmitir una vez más tranquilidad a las mujeres de Talavera de la Reina y ha apuntado que se han hecho ya cerca de 2.000 mamografías de las 3.000 previstas. «Pensamos que va a acudir en torno al 60-65 por ciento», ha apuntado, para insistir en que la previsión es culminar el proceso a finales de noviembre y principios de diciembre.

Temas

comentarios
tracking

Compartir

Herramientas