Fundado en 1910
Fotografías de la cabeza decapitada de Tutankamón y de la examinación de su cuerpo, por Harry Burton

Fotografías de la cabeza decapitada de Tutankamón y de la examinación de su cuerpo, por Harry BurtonGriffith Institute

El oscuro secreto de Howard Carter: la momia de Tutankamón fue decapitada y desmembrada tras su hallazgo

Carter indicó que el cadáver estaba «firmemente atascado» y señaló que «ninguna fuerza legítima» podía liberarlo

El 4 de noviembre de 1922, el arqueólogo y egiptólogo inglés Howard Carter presenció «cosas maravillosas»: acababa de encontrar la última gran tumba del Valle de los Reyes, la tumba del joven faraón Tutankamón. Sin embargo, «lo que siguió no fue un triunfo científico, sino una destrucción», advierte la revista especializada Live Science.

«Utilizando cuchillos calientes y fuerza bruta, el equipo de Howard Carter decapitó al faraón, le cortó las extremidades y desmembró su torso. Luego lo ocultaron», sentencia la revista. Y es que pocos saben que se llevaron a cabo métodos sumamente invasivos para extraer al joven faraón de su sarcófago.

Poco después de determinar la identidad del faraón, Carter y su equipo intentaron extraer la momia del féretro, pero se encontraron con un gran obstáculo: el cuerpo se había pegado al sarcófago debido a una resina negra que se vertió sobre el sudario durante el ritual de enterramiento para proteger el cuerpo de la descomposición.

Según recoge Live Science, Carter indicó que el cadáver estaba «firmemente atascado» y señaló que «ninguna fuerza legítima» podía liberarlo. Trataron de ablandar la resina exponiendo el ataúd al sol para facilitar la extracción del cuerpo, pero cuando vieron que eso no iba a funcionar, «el equipo recurrió a cuchillos calientes, cortando la cabeza», según sentencia la revista.

El egiptólogo estadounidense Bob Brier denuncia en su obra El asesinato de Tutankamón. La verdadera historia que tanto Howard Carter como Douglas Derry, catedrático de anatomía de la Universidad de El Cairo en aquel entonces, infligieron violencia al cadáver en su intento de liberar a Tutankamón de su ataúd. Aunque no publicaron detalles de lo que hicieron con la momia de Tutankamón, sus notas manuscritas son reveladoras:

El arqueólogo inglés escribió en la entrada de su diario del 16 de noviembre de 1925 lo siguiente: «Todo el trabajo del día de hoy se concentró en la cabeza de la momia. Se la encontró en las mismas condiciones que el cuerpo del rey. La región occipital la tenía pegada (en este caso) a la mascarilla, y tan firmemente que para liberarla hacía falta un martillo y un cincel. Finalmente empleamos cuchillos calientes, que dieron buen resultado».

Carter termina su relato indicando que las «operaciones causaron considerable daño en el cuerpo». Más adelante, confiesa que «por increíble que parezca, [Derry] cortó la momia por la mitad a la altura de la tercera vértebra lumbar, y así la pudo sacar en secciones».

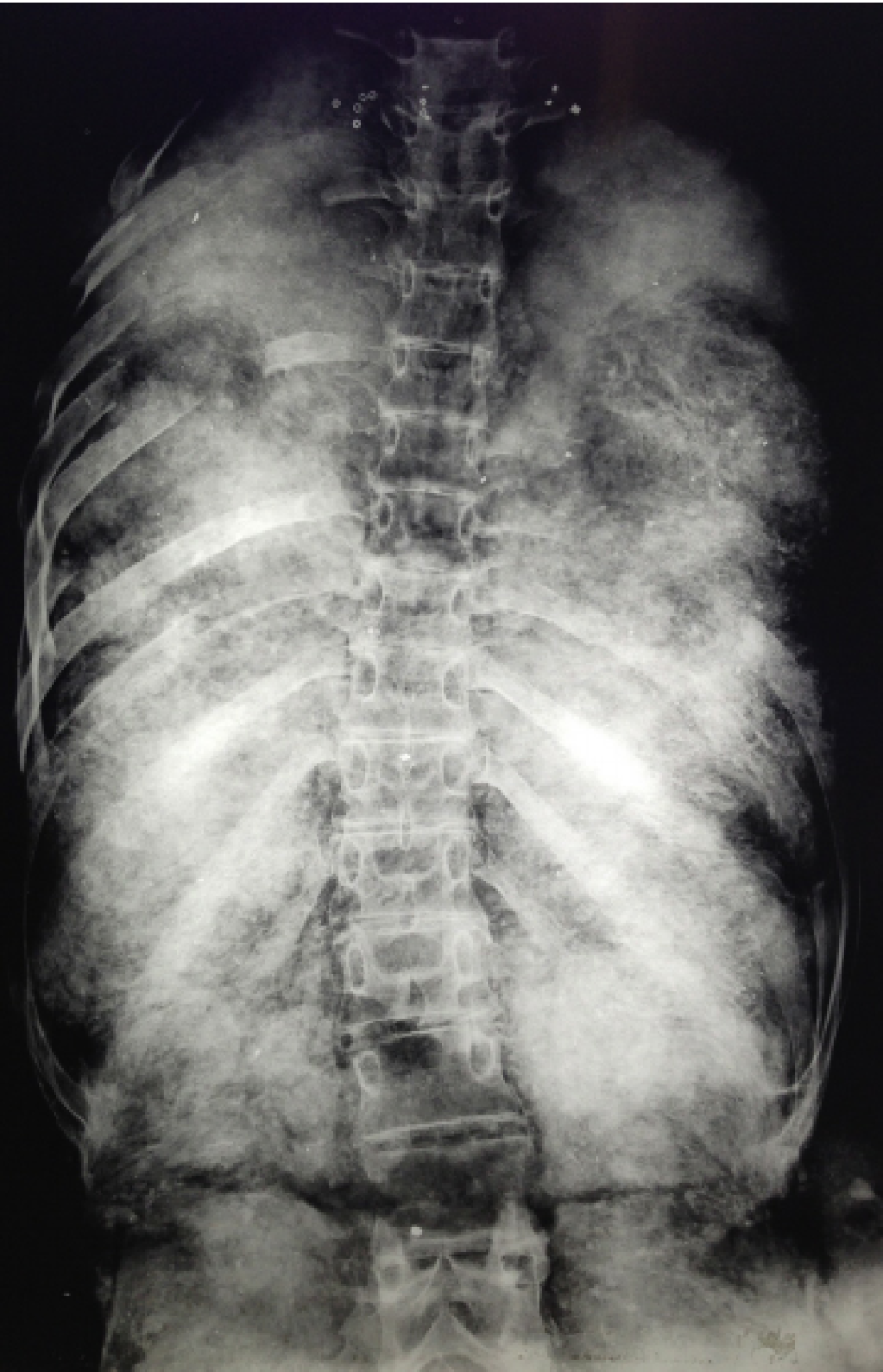
Radiografía del torso de Tutankamón que muestra el estado de las costillas, así como el relleno de la zona abdominal.

Radiografía del torso de Tutankamón que muestra el estado de las costillas, así como el relleno de la zona abdominal.R. Connolly / ResearchGate

Tras reparar en estas anotaciones, Brier considera que «el tratamiento que Derry dio a la momia nos proporciona un buen ejemplo del descuido con que se trató la evidencia física que pudiera revelar la causa de la muerte de Tutankamón. Carter tenía poca idea del importante volumen de información que se podía obtener gracias a una cuidadosa investigación, así que abandonó la momia a la torpe manipulación de Derry».

También el egiptólogo y escritor francés Christian Jacq denunció estos hechos, citando al médico francés Maurice Bucaille, quien «ha examinado realmente la documentación» y «concluye que existió un ‘odioso despedazamiento de la momia’, protestando vigorosamente contra la ocultación de la verdad», como se puede leer en El Valle de los Reyes. Las tumbas de los faraones desvelan sus misterios.

El resultado fue devastador: Tutankamón quedó «decapitado, con los brazos separados a la altura de los hombros, codos y manos, las piernas por las caderas, las rodillas y los tobillos, y el torso cortado desde la pelvis hasta la cresta ilíaca». Posteriormente, sus restos fueron pegados para simular un cuerpo intacto, una macabra reconstrucción que ocultaba la violencia del proceso, indica Live Science.

Jacq comenta en el artículo que «no fueron los egipcios quienes dañaron el cuerpo del joven rey, sino los egiptólogos, y es preciso reconocer el valor de uno de ellos al admitirlo».

Fotografías realizadas por Harry Burton donde se muestra el desastroso estado de la momia

Fotografías realizadas por Harry Burton donde se muestra el desastroso estado de la momiaGriffith Institute

El médico francés arremete en un artículo publicado en La Revue Administrative titulado A propos de la momie de Toutankhamon [«Acerca de la momia de Tutankamón»] lo siguiente: «Me ofende que Carter y Derry no hayan tenido más que menosprecio hacia los restos humanos (a diferencia supina con los objetos), y lo estoy aún más con aquellos que han difundido mentiras odiosas sobre los embalsadores de los despojos del faraón».

Por otro lado, la egiptóloga Joyce Tyldesley ha sido una de las voces actuales que ha denunciado que las crónicas publicadas por el propio Carter omiten las mutilaciones. Tyldesley «sugiere que el silencio de Carter puede reflejar tanto un encubrimiento deliberado como un intento respetuoso de preservar la dignidad del rey fallecido. Sin embargo, sus omisiones quedaron documentadas en las instantáneas del fotógrafo arqueológico Harry Burton. Estas imágenes ofrecen un crudo testimonio visual del desmembramiento», tal y como recoge Live Science.

Sin embargo, no todo han sido críticas. La egiptóloga francesa Christiane Zivie-Coche explica que en los primeros tiempos de la egiptología «con frecuencia se estaba más preocupado por hallar objetos o textos que de hacer un estudio completo del material funerario en su contexto; buen número de arqueólogos no se preocuparon mucho de estudiar, ni siquiera de preservar el material humano y una 'documentación' preciosa ha desaparecido sin dejar rastro».

Asimismo, el egiptólogo inglés Robert Partridge es más benevolente y comprensivo con Carter y escribe en su libro Faces of the Pharaohs que «las opciones disponibles para Carter eran algo limitadas: dejar el cuerpo intacto (y todos los objetos 'in situ') o extraer los objetos de la mejor manera que pudo. Dañar el cuerpo fue inevitable y efectivamente el cuerpo fue extraído trozo a trozo del ataúd».

Aun así, todos los visitantes del Tesoro de Tutankamón que admiran estas magníficas piezas «ignoran el precio pagado, si se puede decir, para su recuperación», tal y como reflexionaba Bucaille en La Revue Administrative.

comentarios
tracking

Compartir

Herramientas