Fundado en 1910
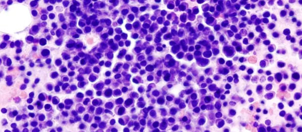
Mieloma múltiple

Mieloma múltipleWikipedia

Descubren cómo el intestino puede ayudar a combatir un tipo de cáncer difícil de tratar

  • La microbiota descompone los alimentos y produce sustancias beneficiosas para nuestro cuerpo, como la Urolitina A

  • Esta sustancia es conocida por sus propiedades antioxidantes y antiinflamatorias, pero hasta ahora no se había investigado su relación con el mieloma múltiple

De cara al Día Mundial de la lucha contra el Cáncer, que tendrá lugar el próximo 4 de febrero, investigadores de la Fundación CRIS Contra el cáncer ha descubierto un nuevo factor clave en la evolución del mieloma múltiple: la microbiota intestinal. En concreto, la investigación, publicada en la revista científica Microbiome, revela que un compuesto derivado de ciertos alimentos, la Urolitina A, la cuál podría mejorar los tratamientos contra esta enfermedad.

El mieloma múltiple es un tipo de cáncer que afecta a la sangre y la médula ósea. Aunque los tratamientos han avanzado mucho en los últimos años, sigue siendo una enfermedad difícil de curar. Solamente en España, durante 2025 se estima que se diagnosticaron 3.169 personas de mieloma múltiple, según datos de la Sociedad Española de Hematología y Hemoterapia (SEHH).

Sin embargo, ahora los científicos han descubierto un nuevo factor que podría ayudar: la microbiota intestinal. Es decir, los billones de microorganismos que viven en nuestro intestino y que juegan un papel clave en nuestra salud.

La microbiota descompone los alimentos y produce sustancias beneficiosas para nuestro cuerpo. Una de ellas es la Urolitina A, que se obtiene a partir de alimentos como la granada, las bayas, las nueces y el té. Esta sustancia, que podríamos llamar un «compuesto protector», es conocida por sus propiedades antioxidantes y antiinflamatorias, pero hasta ahora no se había investigado su relación con el mieloma múltiple.

El equipo de científicos, entre los que se encuentran el doctor Joaquín Martínez y las doctoras María Linares y Alba Rodríguez, ha estudiado cómo este compuesto protector y la microbiota podrían influir en esta enfermedad.

Los expertos observaron que las personas con menos cantidad de este compuesto protector en su cuerpo tenían una peor evolución del mieloma. Analizando muestras se vio que aquellos con menos cantidad de esta sustancia solían tener un cáncer más agresivo. Además, este compuesto fue capaz de frenar el crecimiento de células cancerosas en el laboratorio. Igualmente, hizo que los tratamientos actuales fueran más efectivos, incluso en células que ya eran resistentes a ellos.

Estos descubrimientos abren la puerta a nuevas formas de tratar el mieloma múltiple. En el futuro, este compuesto protector podría convertirse en un complemento para los tratamientos actuales, ayudando a que los medicamentos sean más eficaces y evitando que el cáncer se haga resistente. También podría ser útil en las primeras fases de la enfermedad, cuando todavía no existen tratamientos específicos.

Además, este estudio demuestra que los microorganismos del intestino pueden jugar un papel clave en algunos tipos de cáncer. Quizá, modificar el microbiota con la alimentación o el uso de probióticos específicos podría ayudar a mejorar la evolución de la enfermedad.

Temas

comentarios
tracking

Compartir

Herramientas